

●骨粗鬆症の症状
◆背中や腰が曲がったり、痛くなる
◆ちょっとしたことで骨折する
◆背が小さくなる

●骨粗鬆症により骨折しやすい部位
◆背骨 脊椎圧迫骨折
◆手首 橈骨遠位端骨折
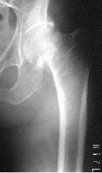
◆脚の付け根 大腿骨近位部骨折(転子部骨折・頸部骨折)
◆腕の付け根 上腕骨近位部骨折

脊椎圧迫骨折 橈骨遠位端骨折 大腿骨転子部骨折 大腿骨頸部骨折 上腕骨近位部骨折
整形外科専門医は、それぞれの骨折に応じて、適切な治療法
(ギプス、コルセット、手術など)を選択します。
■日本における高齢者寝たきり患者の原因疾患は、脳血管疾患に
次いで、骨粗鬆症・骨折が第2位です。特に大腿骨近位部骨折は
寝たきりの原因になりやすく注意が必要です。2014年には、年間
約20万人の大腿骨近位部骨折が発生しており、今後更に増加すると
考えられています。
■脆弱性骨折(ぜいじゃくせいこっせつ)
一般的に骨折は、転倒・転落などのケガにより発生しますが、
骨粗鬆症の場合、明らかなケガをしていないのに、日常生活で発
生する、骨粗鬆症性疲労骨折(脆弱性骨折)というものがあります。
これまでに私が経験した部位は
背骨(脊椎)、あばら骨(肋骨)、骨盤(恥坐骨、仙骨)、
脚の付け根(大腿骨頸部)、膝の内側(脛骨内顆)、
足首の内側(脛骨遠位部)、かかと(踵骨)、前腕(尺骨)などです。
高齢者で、何もしないのに骨が痛くなった場合、脆弱性骨折の
可能性もありますので注意が必要です。
●骨粗鬆症の診断
さまざまな検査を組み合わせて、総合的に診断します。
◆問診・診察
◆エックス線検査
骨梁(カルシウム線維)の状態から、変形や萎縮度を読み取ります。
◆骨量測定
測定法にはDXA法、QCT法、MD法、超音波法などがありますが、
当院では、最も信頼性の高い、躯幹骨DXAを備え、腰椎・大腿骨
の骨密度を測定しています。
◆血液・尿検査
骨の状態を調べるため、或いは症状が似ている他の病気と鑑別
するために行います。
骨代謝マーカー検査は、どれくらい骨が壊れたり作られているか
を調べたり、治療薬の選択や治療効果の判定をする上で重要です。
◆MRI検査・CT検査
骨折の有無や程度、背骨の骨折による脊髄の圧迫などの確認、
或いは他の疾患との鑑別に有意義です。
先に述べた脆弱性骨折は、MRI検査をして初めて診断できる
場合もあります。
◆骨シンチ検査
他の疾患、例えば骨の腫瘍や炎症との鑑別に有意義です。
■原発性骨粗鬆症の診断基準
20〜44歳の若年成人正常値と比較し、骨量が70%未満の場合、
あるいは80%未満でも脆弱性骨折がある場合、骨粗鬆症と診断
されます。
■骨粗鬆症によく似た症状を示す病気に注意
変形性脊椎症・脊柱管狭窄症・脊椎椎間板ヘルニア・
脊椎すべり症・脊椎分離症・骨軟化症・多発性骨髄腫・
転移性脊椎腫瘍(癌の転移)・内分泌疾患・骨Paget病 など
●骨粗鬆症の治療・予防の意義
◆骨粗鬆症になっただけでは症状はありません。
高血圧症や高脂血症により脳卒中や心筋梗塞を合併するのと同じ
く、骨粗鬆症の合併症である骨折を予防、治療するのが目的です。
◆そのためにはどうするか?
■転倒しても骨折しにくくする
・骨を丈夫にする
治療薬
生活習慣 食事・嗜好・運動・日光浴
・ヒッププロテクター
装着することにより転倒時の衝撃を和らげる
有効であるが、継続性に難あり
■転倒しにくくする
●骨粗鬆症の治療法
◆薬物療法

A.ビスフォスフォネート製剤
B.選択的エストロゲン受容体モジュレーター(SERM)
C.活性型ビタミンD製剤
D.デノスマブ
E.テリパラチド
F.抗スクレロスチン抗体
G.カルシトニン製剤
H.ビタミンK製剤
I.カルシウム製剤
*A:経口剤(1錠/日、1錠/週、1錠/4週、1錠/月の製剤あり)
注射剤(4週に1回、月に1回、年に1回の製剤あり)
B,C,H,I:経口剤
D,E,F,G:注射剤
当院では上記薬品を症例に応じて処方し、治療しています。
◆生活習慣
■食事

・カルシウム、ビタミンDの十分な摂取
カルシウムは一日最低600mg、出来れば800mg以上
カルシウム豊富な食品
乳製品 牛乳・スキムミルク・プロセスチーズ
・ヨーグルト・アイスクリームなど
魚介類 干しエビ・小魚など
大豆製品 豆腐・納豆・生揚げなど
野菜 小松菜・チンゲン菜・ゴマなど
海草類 ひじき・わかめなど
ビタミンD豊富な食品
きくらげ・しいたけ・サケ・ウナギ・サンマ・
卵黄など
・適量のタンパク質、マグネシウム、ビタミンK摂取
・インスタント食品にはリンが含まれていることが多い
ので、とりすぎに注意
・ダイエットに注意
・タバコを吸わない
・アルコール・コーヒーのとりすぎに注意
■運動
■日光浴
●転倒予防
年をとるにつれ転倒しやすくなる
筋力の低下・柔軟性の低下・バランス感覚の低下・反射神経の低下
◆運動指導
■筋力訓練
■ストレッチ
■バランス訓練
■歩行指導
◆生活指導



整理整頓
つまずきやすいものを置かない
電器コードや座布団、じゅうたんのへりにも要注意
家具のぐらつきの点検
手すり・滑り止め・段差対策
廊下や床、階段などには、できるだけ手すりや滑り止めをつける
部屋と廊下の間の段差はなるべく少なくする
足下を明るく
部屋、廊下、階段などに常夜灯をつける
浴室・トイレ対策
浴室内は手すりをつけたり、イスを置いたりする
和式トイレはできれば補助便座などで洋式にする
外出時も十分注意を
はき慣れた靴、すそさばきのよい服装で出かける
ふらつきやすい人は杖を使用する
夜間や天候の悪いときは外出をさける
雪道に注意
凍結路面の歩き方
重心を前にし、小さな歩幅で、足の裏全体をつけるように
骨粗鬆症の認識を深め、生活習慣を見直し、
適切な予防・治療を行うことにより骨折の発生を減らし、
元気な高齢化社会をめざしましょう!
尚、このページでのイラスト使用は、武田薬品工業株式会社の了解を得ています。